iRadTech
Published by Ballinger and Bruckner, LLP on Dec 30, 2009Genre: Medical
Ratings: 4.60
Version: 5.0.1
Updated: Jun 22, 2024
Downloads: 803
IRadTech is a medical app developed by Ballinger and Bruckner LLP. The last update, v5.00, released on June 22, 2024, and it’s rated 4.60 out of 5 based on the latest 53 reviews. IRadTech costs $24.99 and requires iOS 12.0+ and Android 11 or newer to download.






Video: IRadTech Overview
Description
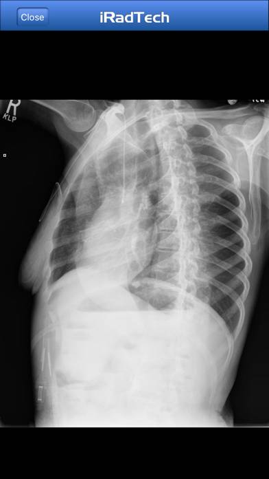
Radiographic Positioning Guide for Medical Imaging Professionals and Students
Meets latest Apple requirements. Similar to x-ray pocket guide or reference booklet.
Show more
Download IRadTech
Scan to Get the App!
How to Use IRadTech on Your PC or Mac
Want to enjoy IRadTech on your desktop? Download the latest APK (5.00, 122 MB) or choose your preferred version, and follow our Bluestacks emulator guide for easy installation on Windows or macOS. For any assistance with downloading or installing APK files, feel free to visit our forums!
User Reviews and Ratings
★★★★★ Very useful
This is very useful, I just wish there were trauma "shots" & positions in the app.
★★★★★ Very useful app
I am a clinical instructor and use this app as a quick reference to show students how to properly position patients and how the resulting radiograph is supposed to look. I love this app.
★★★☆☆ kVp and mAs
Would be much better if included kVp and mAs calculator or averages for study purposes and having everything in the same spot. Awesome app though, highly recommended by teachers, students, and techs.
★★★★☆ Great but could be improved
I think including kVp and mAs would make this app perfect! Great for sitting and reviewing positioning when you have down time.
★★★★☆ Great app...but
Read all reviews
I think this app is great and well organized. I am a student that will be taking my boards in 4months. It would be nice to have an option to take quizzes on the positioning. That's my only suggestion on adding to the app.
Related Apps

Аптека Фармакопейка

MAPAR

Heilkräuter aus der Natur

IC@N
Top #94 in Medical Apps

Growth: baby & child charts

Cedars-Sinai
Top #100 in Medical Apps